
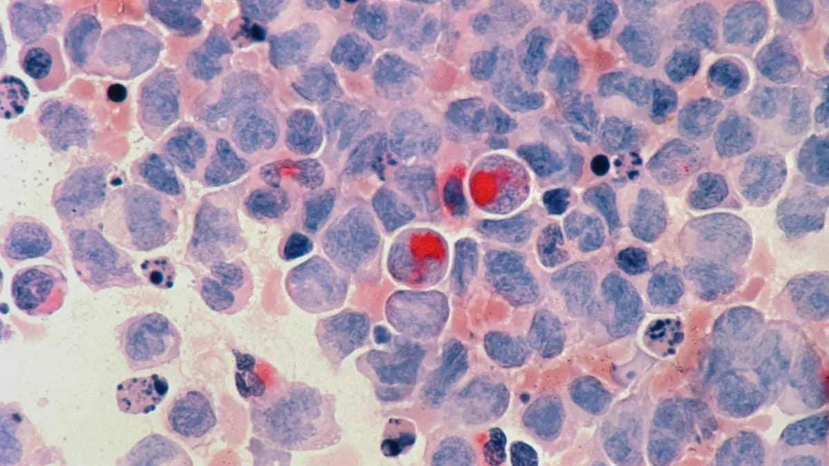
Nemzeti Rákellenes Nap: Hagyomány és Tudatosság a Középpontban

Magyar nyelvű, konzervatív szemléletű hírportál: Itthon, Nagyvilág, Gazdaság, Kultúra, Történelem, Vélemény. Tények, kontextus, térképek, podcastok.

Nemzeti Rákellenes Nap: Hagyomány és Tudatosság a Középpontban

Új sejttípus felfedezése: hatása a magzati fejlődésre

USA szövetség vagy brüsszeli gyarmatosítás: A magyar választók döntése

A Milói Vénusz: A Szépség Titokzatos Ikonja

Magyar–amerikai stratégiai partnerség a fókuszban

Menczer Tamás: Trump támogatása erősíti a kormányt

Orbán Viktor Köszönetet Mond Trump Támogatásáért

Torinói lepel: Új tudományos kísérlet Jézus feltámadásáról

Magyarország és az USA szövetsége: Orbán támogatása

Kubatov: Kapitány István és a multinacionális érdekképviselet